A website dedicated to better
To achieve those goals, I seek to optimize todays therapies and dream of tomorrows innovations.

Zachary T. Berman, MD is an Associate Professor of Clinical Radiology at the University of California, San Diego, with a subspecialty focus in interventional oncology and hepatobiliary malignancies. A graduate of Case Western Reserve University School of Medicine, Dr. Berman completed his internal medicine internship and diagnostic/interventional radiology residency at UC San Diego. He now serves as a national thought leader in liver-directed therapy and interventional radiology.
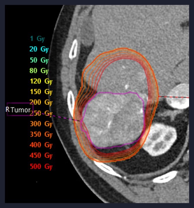
Dr. Berman’s academic and clinical career is distinguished by a strong commitment to innovation in minimally invasive cancer therapy. He has played pivotal roles in numerous clinical trials investigating emerging locoregional and immuno-oncology strategies, including investigator positions in the CapTemY90 trial and other advanced-phase studies for neuroendocrine tumors, HCC, and pancreatic cancer. He has authored over 30 peer-reviewed publications and book chapters, including work on Y-90 dosimetry, intraoperative embolization, and imaging response assessment, and has been recognized with honors such as “Top Doctor” in San Diego Magazine and the UCSD Resident Teaching Award.
A respected voice in the field, Dr. Berman has delivered over 60 invited lectures nationally and internationally, including at major conferences such as the Society of Interventional Oncology (SIO), Society of Interventional Radiology (SIR), and Western Angiographic Society. He has led sessions on personalized Y90 dosimetry, tumor ablation, and strategies for combining local therapies with systemic treatments. His educational leadership is evident through his involvement in SIR’s Residency Essentials Council, the SIO Education Committee, and as a site mentor for students and residents.